Bộ môn nội
Đại học Y dược Huế
  • Trang Chủ
  • Lịch công tác
      Lịch công tác Bộ môn
    • Lịch giảng dạy và sinh hoạt ĐH
    • Lịch giảng dạy và sinh hoạt SĐH
    • Lịch công tác hàng tuần
  • Giới thiệu
      Giới thiệu
    • Lịch sử hình thành Bộ môn
    • Chức năng nhiệm vụ
    • Tổ chức Bộ môn
    • Tổ chức đoàn thể
    • Nhân sự
      Một số đề tài NCKH của bộ môn
    • Cơ xương khớp
    • Hô hấp
    • Nội tiết
    • Thần kinh
    • Thận tiết niệu
    • Tiêu hóa
    • Tim mạch
      Giới thiệu sách Bộ môn
  • Hoạt Động
      Đào tạo đại học
    • Chương trình đào tạo
    • Quy Chế - Quy Định - Thông Báo
    • Hướng dẫn khám lâm sàng bằng hình ảnh và video
      Đào tạo sau Đại học
    • Chương trình đào tạo
    • Quy Chế - Quy Định - Thông Báo
    • Các chuyên đề nghiên cứu sinh
    • Danh sách đề tài tốt nghiệp cao học và chuyên khoa 2 nội khoa
    • Danh sách nghiên cứu sinh
      Đào tạo liên tục
    • Tài liệu giảng dạy siêu âm
    • Tài liệu giảng dạy ECG
    • Tài liệu khác
  • Thông Tin
      Tin Tức - Thông Báo
    • Thông báo
    • Tin hoạt động
      Trường hợp lâm sàng
    • Tim mạch
    • Thần kinh
    • Tiêu hóa
    • Cơ xương khớp
    • Thận tiết niệu
    • Nội tiết
    • Hô hấp
      Thông Tin Khoa Học
    • Thông tin Y học
    • Kiến thức CNKH
    • Hướng dẫn viết luận văn luận án
      Tư Liệu Chuyên Nghành
    • Các bài báo tổng quan SĐH
    • Câu hỏi - Trắc nghiệm
    • Câu lạc bộ Anh văn
    • Cựu học viên
    • Góc Thư Giãn
  • Liên hệ
Bộ môn nội
Đại học Y dược Huế
  • Trang chủ
  • Giới thiệu
    Lịch sử hình thành Bộ môn Chức năng nhiệm vụ Tổ chức Bộ môn Tổ chức đoàn thể Nhân sự
  • Một số đề tài NCKH của bộ môn
    Cơ xương khớp Hô hấp Nội tiết Thần kinh Thận tiết niệu Tiêu hóa Tim mạch
  • Giới thiệu sách Bộ môn
  • Lịch công tác Bộ môn
    Lịch giảng dạy và sinh hoạt ĐH Lịch giảng dạy và sinh hoạt SĐH Lịch công tác hàng tuần
  • Đào tạo đại học
    Chương trình đào tạo Quy Chế - Quy Định - Thông Báo Hướng dẫn khám lâm sàng bằng hình ảnh và video
  • Đào tạo sau Đại học
    Chương trình đào tạo Quy Chế - Quy Định - Thông Báo Các chuyên đề nghiên cứu sinh Danh sách đề tài tốt nghiệp cao học và chuyên khoa 2 nội khoa Danh sách nghiên cứu sinh
  • Đào tạo liên tục
    Tài liệu giảng dạy siêu âm Tài liệu giảng dạy ECG Tài liệu khác
  • Tin Tức - Thông Báo
    Thông báo Tin hoạt động
  • Trường hợp lâm sàng
    Tim mạch Thần kinh Tiêu hóa Cơ xương khớp Thận tiết niệu Nội tiết Hô hấp
  • Thông Tin Khoa Học
    Thông tin Y học Kiến thức CNKH Hướng dẫn viết luận văn luận án
  • Tư Liệu Chuyên Nghành
    Các bài báo tổng quan SĐH Câu hỏi - Trắc nghiệm
  • Câu lạc bộ Anh văn
  • Góc Thư Giãn
  • Cựu học viên
Trang chủ / Tài liệu khác

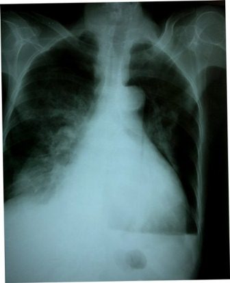
Tràn khí màng phổi

\"\"

Các bài viết khác

  1. Phình động mạch chủ lên
  2. Phình tách động mạch chủ trên phim CT 64
  3. Thất phải lớn trong Fallot 4
  4. Hình ảnh khối u phổi
  5. Hội chứng Eisenmenger
TIN NỔI BẬT
  • HỘI THẢO CẬP NHẬT VỀ TIÊU HÓA - GAN MẬT 2025
  • Thiệp mừng kỷ niệm ngày Nhà Giáo Việt Nam
  • Thiệp Tết Xuân Ất Tỵ 2025
  • Lời chúc Giáng sinh an lành gửi đến Quý Thầy Cô giáo
  • SEMINAR: BEST OF INTERNAL MEDICINE 2024
  • HỘI THẢO KHOA HỌC “CẬP NHẬT VỀ TIÊU HÓA - GAN MẬT NĂM 2024” BEST OF HEPATOGASTROENTEROLOGY 2024
THÔNG BÁO
  • THÔNG BÁO SỐ 2 HỘI THẢO KHOA HỌC CẬP NHẬT CÁC TIẾN BỘ TRONG CÁC CHUYÊN NGÀNH NỘI KHOA 2024
  • Thông báo số 1 Hội nghị tim mạch Miền Trung - Tây Nguyên
  • Mở lớp siêu âm tim khoá 15
  • ĐỀ CƯƠNG ÔN THI TUYỂN BSNT NỘI KHOA NĂM 2020
  • Thông báo số 2 Hội nghị Khoa học Nội khoa toàn quốc lần thứ XII
  • THÔNG BÁO SỐ 2 HỘI NGHỊ NỘI KHOA MIỀN TRUNG MỞ RỘNG 2020
BỘ MÔN NỘI 2
ĐẠI HỌC Y DƯỢC HUẾ
  • 06 Ngô Quyền, thành phố Huế, tỉnh Thừa Thiên Huế
  • (0234) 3845519
  • bm.noi@huemed-univ.edu.vn
Giới thiệu
  • Giới thiệu
  • Một số đề tài NCKH của bộ môn
  • Giới thiệu sách Bộ môn
Hoạt động
  • Đào tạo đại học
  • Đào tạo sau Đại học
  • Đào tạo liên tục
Thông tin
  • Tin Tức - Thông Báo
  • Trường hợp lâm sàng
  • Thông Tin Khoa Học
  • Tư Liệu Chuyên Nghành
  • Câu lạc bộ Anh văn
  • Cựu học viên
  • Góc Thư Giãn
© 2011 Bộ môn Nội - Trường Đại Học Y Dược Huế
Lượt truy cập: 0 | Đang trực tuyến: 0