Bộ môn nội
Đại học Y dược Huế
  • Trang Chủ
  • Lịch công tác
      Lịch công tác Bộ môn
    • Lịch giảng dạy và sinh hoạt ĐH
    • Lịch giảng dạy và sinh hoạt SĐH
    • Lịch công tác hàng tuần
  • Giới thiệu
      Giới thiệu
    • Lịch sử hình thành Bộ môn
    • Chức năng nhiệm vụ
    • Tổ chức Bộ môn
    • Tổ chức đoàn thể
    • Nhân sự
      Một số đề tài NCKH của bộ môn
    • Cơ xương khớp
    • Hô hấp
    • Nội tiết
    • Thần kinh
    • Thận tiết niệu
    • Tiêu hóa
    • Tim mạch
      Giới thiệu sách Bộ môn
  • Hoạt Động
      Đào tạo đại học
    • Chương trình đào tạo
    • Quy Chế - Quy Định - Thông Báo
    • Hướng dẫn khám lâm sàng bằng hình ảnh và video
      Đào tạo sau Đại học
    • Chương trình đào tạo
    • Quy Chế - Quy Định - Thông Báo
    • Các chuyên đề nghiên cứu sinh
    • Danh sách đề tài tốt nghiệp cao học và chuyên khoa 2 nội khoa
    • Danh sách nghiên cứu sinh
      Đào tạo liên tục
    • Tài liệu giảng dạy siêu âm
    • Tài liệu giảng dạy ECG
    • Tài liệu khác
  • Thông Tin
      Tin Tức - Thông Báo
    • Thông báo
    • Tin hoạt động
      Trường hợp lâm sàng
    • Tim mạch
    • Thần kinh
    • Tiêu hóa
    • Cơ xương khớp
    • Thận tiết niệu
    • Nội tiết
    • Hô hấp
      Thông Tin Khoa Học
    • Thông tin Y học
    • Kiến thức CNKH
    • Hướng dẫn viết luận văn luận án
      Tư Liệu Chuyên Nghành
    • Các bài báo tổng quan SĐH
    • Câu hỏi - Trắc nghiệm
    • Câu lạc bộ Anh văn
    • Cựu học viên
    • Góc Thư Giãn
  • Liên hệ
Bộ môn nội
Đại học Y dược Huế
  • Trang chủ
  • Giới thiệu
    Lịch sử hình thành Bộ môn Chức năng nhiệm vụ Tổ chức Bộ môn Tổ chức đoàn thể Nhân sự
  • Một số đề tài NCKH của bộ môn
    Cơ xương khớp Hô hấp Nội tiết Thần kinh Thận tiết niệu Tiêu hóa Tim mạch
  • Giới thiệu sách Bộ môn
  • Lịch công tác Bộ môn
    Lịch giảng dạy và sinh hoạt ĐH Lịch giảng dạy và sinh hoạt SĐH Lịch công tác hàng tuần
  • Đào tạo đại học
    Chương trình đào tạo Quy Chế - Quy Định - Thông Báo Hướng dẫn khám lâm sàng bằng hình ảnh và video
  • Đào tạo sau Đại học
    Chương trình đào tạo Quy Chế - Quy Định - Thông Báo Các chuyên đề nghiên cứu sinh Danh sách đề tài tốt nghiệp cao học và chuyên khoa 2 nội khoa Danh sách nghiên cứu sinh
  • Đào tạo liên tục
    Tài liệu giảng dạy siêu âm Tài liệu giảng dạy ECG Tài liệu khác
  • Tin Tức - Thông Báo
    Thông báo Tin hoạt động
  • Trường hợp lâm sàng
    Tim mạch Thần kinh Tiêu hóa Cơ xương khớp Thận tiết niệu Nội tiết Hô hấp
  • Thông Tin Khoa Học
    Thông tin Y học Kiến thức CNKH Hướng dẫn viết luận văn luận án
  • Tư Liệu Chuyên Nghành
    Các bài báo tổng quan SĐH Câu hỏi - Trắc nghiệm
  • Câu lạc bộ Anh văn
  • Góc Thư Giãn
  • Cựu học viên
Trang chủ / Tài liệu khác

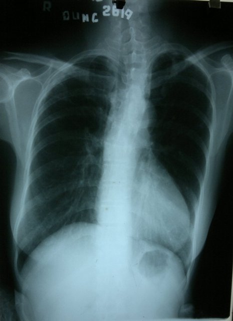
Thất phải lớn trong Fallot 4

 \"\"

Các bài viết khác

  1. Phình động mạch chủ lên
  2. Phình tách động mạch chủ trên phim CT 64
  3. Hình ảnh khối u phổi
  4. Tràn khí màng phổi
  5. Hội chứng Eisenmenger
TIN NỔI BẬT
  • Thiệp mừng kỷ niệm ngày Nhà Giáo Việt Nam
  • Thiệp Tết Xuân Ất Tỵ 2025
  • Lời chúc Giáng sinh an lành gửi đến Quý Thầy Cô giáo
  • SEMINAR: BEST OF INTERNAL MEDICINE 2024
  • HỘI THẢO KHOA HỌC “CẬP NHẬT VỀ TIÊU HÓA - GAN MẬT NĂM 2024” BEST OF HEPATOGASTROENTEROLOGY 2024
  • GM HT khoa học Cập nhật về Tiêu hóa- Gan mật năm 2024 BEST OF HGE 2024
THÔNG BÁO
  • THÔNG BÁO SỐ 2 HỘI THẢO KHOA HỌC CẬP NHẬT CÁC TIẾN BỘ TRONG CÁC CHUYÊN NGÀNH NỘI KHOA 2024
  • Thông báo số 1 Hội nghị tim mạch Miền Trung - Tây Nguyên
  • Mở lớp siêu âm tim khoá 15
  • ĐỀ CƯƠNG ÔN THI TUYỂN BSNT NỘI KHOA NĂM 2020
  • Thông báo số 2 Hội nghị Khoa học Nội khoa toàn quốc lần thứ XII
  • THÔNG BÁO SỐ 2 HỘI NGHỊ NỘI KHOA MIỀN TRUNG MỞ RỘNG 2020
BỘ MÔN NỘI 2
ĐẠI HỌC Y DƯỢC HUẾ
  • 06 Ngô Quyền, thành phố Huế, tỉnh Thừa Thiên Huế
  • (0234) 3845519
  • bm.noi@huemed-univ.edu.vn
Giới thiệu
  • Giới thiệu
  • Một số đề tài NCKH của bộ môn
  • Giới thiệu sách Bộ môn
Hoạt động
  • Đào tạo đại học
  • Đào tạo sau Đại học
  • Đào tạo liên tục
Thông tin
  • Tin Tức - Thông Báo
  • Trường hợp lâm sàng
  • Thông Tin Khoa Học
  • Tư Liệu Chuyên Nghành
  • Câu lạc bộ Anh văn
  • Cựu học viên
  • Góc Thư Giãn
© 2011 Bộ môn Nội - Trường Đại Học Y Dược Huế
Lượt truy cập: 0 | Đang trực tuyến: 0