Phình động mạch chủ lên

 \"\"

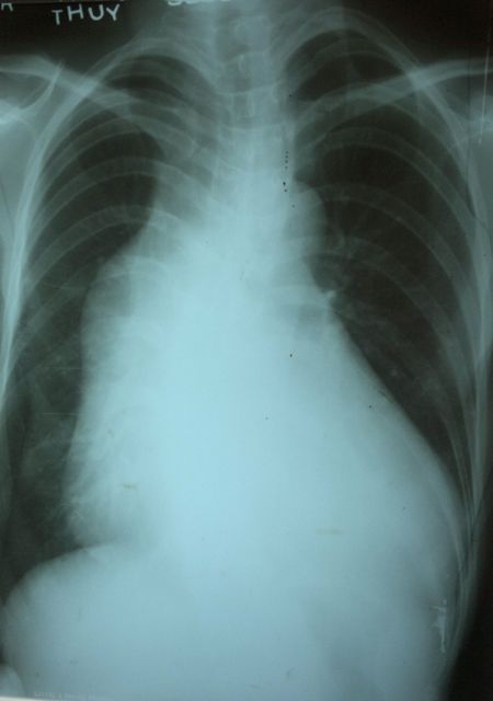
Phim X quang lồng ngực thẳng lưu ý hình ảnh phồng động mạch chủ lên

\"\"

Phim chụp CT 64 thấy túi phình rất lớn

\"\"